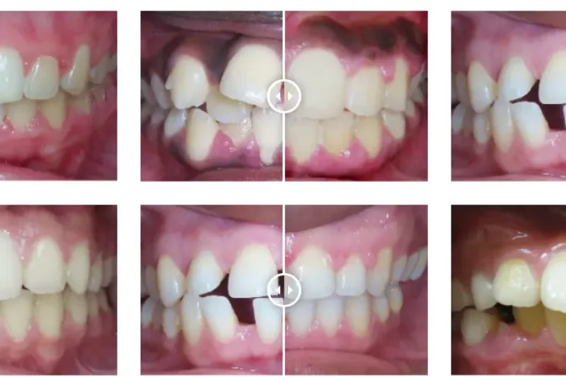
What to Expect at Your First Orthodontic Consultation
Walking into an unfamiliar medical office for the first time, especially when you don’t know exactly what’s going to happen, can feel surprisingly nerve-wracking. For orthodontic consultations in particular, …










